
Not everyone knows what osteoarthritis is, for this reason, people are confused in treatment methods and do not understand the principles of the diagnosis of pathology.Arthrosis is a severe dystrophic violation which causes the tissue of the cartilage in the intra-articular cavity.The complexity of therapy is associated with the irreversibility of the processes, a complete remedy in the context of modern medicine cannot be obtained, but the severity of the symptoms can be reduced and the progression of the pathology can slow down.With appropriate treatment, a person continues the usual lifestyle for a long time.
What is osteoarthritis?
Likewise, it is simpler than for osteoarthritis disease is a disease of joints which causes the restriction of the amplitude of movement and pain.At the first stage of damage, there are no manifestations, has a slight gravity and washed.Little by little, pathology is progressing, this is facilitated by age -related changes in the body, stress, injuries, etc.According to statistics, around 80% of the population over 60 years old in osteoarthritis.
The articulation of the joint develops for a long time, initially affects only hyalin cartilage, then spreads to bones, implies the synovial shell, the muscles and the whole joint capsule.At the first or start of osteoarthritis, the lesion manifests slightly: small pain after hard work, swelling, redness of the skin.Due to the ignorance of uncomfortable sensations, the joint is deformed, inflamed, brings intense pain, their peak in the morning.The disease is characterized by the disappearance of pain after the development of the joint.If he is not treated, a person completely loses the mobility of the joint.

There is a form of primary and secondary osteoarthritis.Pseudo -arthrosis (neoartrose) is also distinguished - few people know what it is, because it is less often formed than other varieties.Neoarthrosis is a false joint, so the cartilage fabric increases in an unusual place where damage has been obtained.It is difficult to treat, mainly surgically.
There is a pathology due to disorders of regenerative function, immunity or mechanical damage.Due to various causes of cartilage, it becomes thinner.In normal condition, the cartilage fabric receives sufficient nutrition for recovery, but after excessive physical effort or due to a violation of metabolic processes, the tissues do not have time to regenerate.At the first stage, joint mobility remains.Having considered what osteoarthritis is a definition, it is worth deepening in more detail in the development of pathology.
The arthritis development mechanism, its types
Many varieties of osteoarthritis develop according to a similar scheme:
- The primary lesion affects hyalin cartilage.In case of circulatory disorders, a deterioration of the pathological power occurs.This is the first step or the cause, which can occur by osteoarthritis.
- Hyalin coating pathologies.The slimming of the cartilage leads to the replacement of its pathological tissues - bone structures.
- Abnormal growths appear on cartilage - osteophytes.
- The violation in particular of the natural anatomy of cartilage and bones causes the overload of healthy areas of cartilage.The destruction of joint tissues without treatment is increasing constantly and leads to a handicap.
When the degree of disease increases, pathological processes are still aggravated.In the end, all the hyalin cartilage is destroyed.
The last degree of the disease leads to:
- Involvement in the pathological process of bones, under and above cartilaginous surfaces;
- irritation of an joint shell, limiting mobility, which leads to a handicap of 2 degrees;
- increase in the density of the capsule;
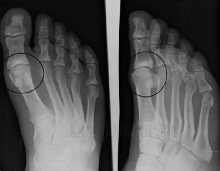
- Reduce the gap in the gap of the joint, which becomes noticeable in the image.The stadium of violation is determined by the diagnosis-tantalist.The patient feels complexity or inability to straighten and completely fold the member;
- Joint deformation, cartilage acquires an irregular shape, causing a curvature;
- Deterioration of the patient's condition with complete destruction of the joint.
Osteoarthritis stages
Joint disease has 3 stages of development:

- 1 degree.Morphological disorders have already started, but they are not yet perceptible.The pathology mainly affects the state of the synovial fluid, which, worse, provides cartilaginous tissues with nutritious components, reducing the strength of cartilage.The load on the joints causes inflammation and pain.
- Step 2. Due to the contribution deficiency, the necessary cartridges are destroyed, bone growths are formed on the surface of the cartilage.The pain acquires a more pronounced character, intensifying after a long rest, is eliminated by a small physical work.Pain is accompanied by inflammation.The muscles are stretched, which leads to weak or medium motor functions.
- 3 degrees.Often there are pain, it is difficult to move the limb due to changes in the joint.The lesions are extended, become perceptible with the naked look.The deformation of the joint site occurs, the affected area swells and becomes red.The axis of the members is disturbed, which leads to the complexity of the movement.Pathological changes cause ligament shortening.Sublisses and contractures appear.The adjacent muscles are shortened or stretched, from which the contractile function is weakened.
Causes and risk factors for the development of osteoarthritis
The causes of arthritis of the joints differ depending on the form of pathology.The distorting osteoarthritis of the elbow joint, the ankle joint and shoulder osteoarthritis sometimes develop without significant causes, it is possible to detect them with a doctor, a specialist in rheumatology.If the problem has not been preceded by visible pathologies, the disease is called primary.The secondary form of violation is mainly diagnosed, it can cause various states.
The main reasons for development:
- Mechanical damage: dislocations, fractures, stretching, meniscus injuries;
- A number of endocrine disorders associated with dysfunctions in the work of immunity;
- pathologies of metabolism;
- dysplasia (congenital anomalies of joint tissues);
- underwent an inflammation of the joints;
- pathologies leading to a strong mobility of the joints and to a weakening of the ligaments.
Patients with osteoarthritis have most often encountered a disease due to predisposing factors:
- age -related changes;
- Light and increase in BMI.A high load on the joint causes rapid wear of the joints;
- lack of beneficial substances;
- Excessive load on the joints.Reason is intense training, sports, hard physical work;
- difficult working conditions or an incorrect approach to sports.If there are a history of genetic tendency to damage, joint injuries or similar diseases, it is important to adhere to a special training program, avoiding traumatic and difficult exercises;
- The postoperative recovery period or complex operations transmitted associated with excision on a large part of affected tissues.These states negatively affect the sweetness and resistance of the cartilage, the load must be minimized on them;
- Genetic tendency, osteoarthritis is more often diagnosed in patients who have parents with the same pathology;
- The postmenopause stadium has occurred in women for about 50 years, has been associated with changes in the endocrine system;
- the destructive effect of toxins;
- poor environmental situation in the residence region;
- Frequent joint damage, sometimes microfissions have not appeared for a long time;
- hypothermia;
- Pathology of the lumbar and cervical part of the spine.
Primary arthritis

Primary osteoarthritis is formed independently, that is to say without the influence of internal or external causes.The defeat develops through the hyalin cartilage quite slowly.It is rarely diagnosed, it represents only 3 to 5% of all cases.
Secondary osteoarthritis
Secondary osteoarthritis is most often detected in order of 95 to 96% of cases.They are caused by one of the above pathologies.
Osteoarthritis signs and symptoms
The manifestations of the disease differ little depending on the location, most often signs are reflected on the knees, shoulders and hip joints, due to the high load.
Most complaints come down to:
- pain.They have a low severity at the initial stage, with the worsening of the state of feeling intensifying.Initially, the joints only hurt after awakening, after a slight warm, the sensations disappear.Over time, the pain appears at night, they disturb greatly during and after an extension of walking, running, etc.At the last stage, pain syndrome is pursuing a person all the time;
- Limited amplitude of movements.The rigidity of the actions indicates anatomical changes in the structure.At the beginning, it manifests itself in the morning, then the daily movements are limited.In order not to cause the condition to worsen, the work must be diversified and light, otherwise the patient will not be able to smash and press the member over time.Over time, there is a risk of contract, a person of which loses the motor capacity;
- Crown during movements - It belongs to the non -specific manifestations of osteoarthritis.The disease is characterized by the occurrence of a crunch in a single joint (with the exception of polyarthrosis), accompanied by discomfort, pain and limited actions.The nature of the current is similar to waves - at the beginning, it manifests weakly, is gradually intensifying, but 3 stages disappears;
- swelling with redness.It is located near the sick joint, this indicates an inflammatory process and a progression of the disease.The doctor understands that the synovial shell is affected, which causes the accumulation of liquid and increased pain;
distortions of the limbs.Appears in a neglected form of the disease, indicates the complete destruction of the cartilage fabric and the appearance of osteophytes.In this state, the pressure on the joints at the top and below increases, from which the curvature can affect the entire member.
It is important to remember that the deformation of the bones on the leg is often confused with corn.The symptom is not badly dangerous at first glance, but has serious consequences.
Complications
Initially, conservative therapy methods are used for treatment.If they are ineffective or if the patient has ignored the doctor's recommendations, there is a risk of consequences.
Possible complications:
- The joint is completely destroyed;
- The member is immobilized, all movements become extremely difficult;
- Hernies intervertebral;
- disability;
- Strong deformation of the joint or whole member.
Diagnosis of osteoarthritis
To make a diagnosis, rheumatologists study the patient's complaints and prescribe an X-raffle examination.Most often, radiography is used in 2 projections.The doctor examines the presence of dystrophic disorders in hyalin cartilage and bone joints.If the joint space is reduced, the bones are deformed or flattened, there are cystic formations on the surface of the cartilage, osteophytes are signs of osteoarthritis.During the inspection, osteoarthritis indicates the instability of the joint: the axis of the members and the subluxation is disturbed.

Often, an X-Ray image is unable to provide complete information on the state of the joint.For a more in -depth study, computed tomography is prescribed, it is effective in examining the bones.MRI is more often used to study soft tissue.
During the diagnosis, the involvement of other specialists is practiced which will help determine the deep cause of the pathology.Often resorting to the consultation of a hematologist, endocrinologist, gynecologist, orthopedic.
Modern treatment
There are hundreds of ways of osteoarthritis therapy, but they all come to a number of methods:
- Drug treatment.The main task is to combat symptoms and prevent the subsequent development of a violation.Most often, pain relievers are used to relieve pain, non-steroidal anti-inflammatory drugs to combat inflammation, hormonal drugs are prescribed for intense pain and acute inflammation.Each course is based on chondroprotectors that protect the tissues from cartilage against destruction, natural substances are used for their manufacture;
- physiotherapy.Improves the effectiveness of drugs, fighting inflammation, relieves symptoms, accelerates tissue regeneration.Most often, used ultrasonic, electric, magnetic and laser treatment.This also includes mud baths, applications with natural materials, radon baths;
- Medical physical education.It is useful both as prevention and facilitating the condition.After the right physical exercises, it is possible to completely eliminate the pain.It is useful to visit the swimming pool, get involved in yoga and walk often;
- Manual therapy, massage will help the treatment of the disease because they contribute to the prevention of the curvature of the joints.After injuries, the manual therapist is able to level the joint, preventing his fixation in poor position.After massage, muscle tone is improved, blood circulation is accelerated;
- Appropriate nutrition.A healthy diet will help enrich the body of nutrients for cartilage and reduce body weight.A large mass increases the wear of the joints;
- Treatment for the organization of the sanatorium will strengthen the joints.As part of healing, sanatoriums are offered a balneotherapy, exercise therapy, physiotherapeutic procedures, etc.;
- Non -traditional therapy.For the treatment of osteoarthritis, huts, Naturo medicine, APH and plant -based, as well as acupuncture and various folk recipes are used;
- Surgical intervention is the only way to return to the usual life in the third stage of the disease.The endoprothetics allows you to replace the patient cartilage with the implant.The only drawback of the operation is the high cost.A procedure is sufficient for 15 to 20 years.
Preventive measures
So that the arthritis of the joint does not disturb in old age, stands:
- Maintain a healthy lifestyle;
- prevent high loads;
- observe a regime;
- exclude bad habits;
- Perform gymnastics daily;
- Follow the weight.
Osteoarthritis is a dangerous disease that is much easier to prevent than to heal.With a timely search for a doctor and compliance with treatment rules, the patient will be able to maintain a familiar lifestyle for a long time.The lack of therapy and self-medication causes rapid worsening of the disease and, ultimately, disability.























